【Nat. Mater.】响应型荧光探针见多了,看看这个响应型磁共振材料,用于体内一氧化氮成像响应性磁探针
总结
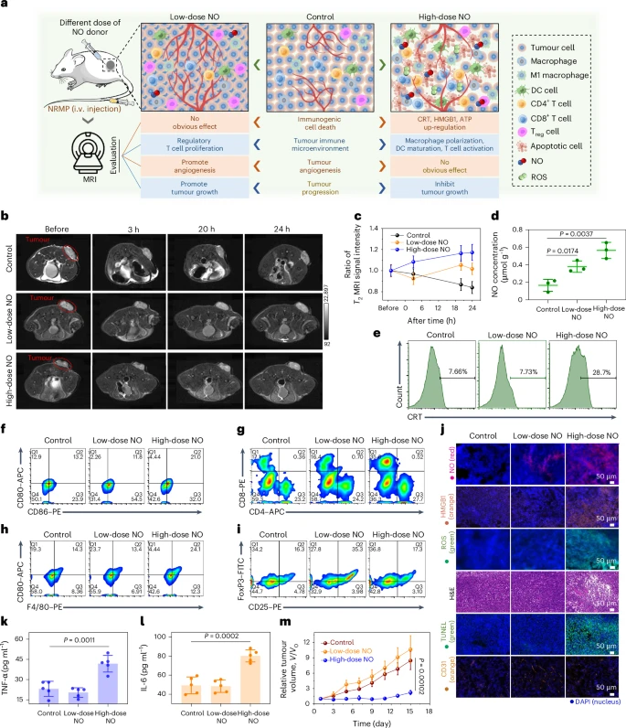
研究开发了一种基于超顺磁性氧化铁纳米颗粒的响应性探针,用于体内一氧化氮(NO)磁共振成像(MRI)。该探针在小鼠肿瘤模型中实现了高灵敏度和选择性的NO检测,揭示了NO在肿瘤进展和免疫中的作用。
摘要
一氧化氮(NO)是重要的信号分子,在心血管、免疫、神经传导和癌症进展中发挥多重作用。然而,由于其瞬时性和生物环境的复杂性,体内测量NO具有挑战性。本研究介绍了一种由交联超顺磁性氧化铁纳米颗粒组成的NO响应性磁探针(NRMP),通过NO敏感的可裂解连接子实现高灵敏度和选择性的NO磁共振成像。该探针能够检测低至0.147 μM的NO浓度,允许在小鼠肿瘤模型中成像和定量NO,研究其对肿瘤进展和免疫的影响,并评估肿瘤相关巨噬细胞对癌症免疫治疗剂的反应。此外,该探针还可实现器官的解剖和分子成像,帮助识别肝脏的病理变化。总体而言,这些探针代表了研究NO在生理和病理过程中剂量依赖性作用的有前途的非侵入性工具。

研究结果分类展示
探针构建与表征
- 合成方法:通过自由基聚合将NO可裂解连接子与超顺磁性氧化铁纳米颗粒结合,形成磁性凝胶纳米颗粒。
- 粒径变化:在NO存在下,NRMP的粒径从75 nm增加到246 nm。
- 磁响应性:NO暴露后,饱和磁化强度从51降至20 emu g⁻¹。

体外响应性
- 横向弛豫率(r₂):NRMP的r₂从64.3降至27.9 mM⁻¹ s⁻¹,显示出对NO浓度的敏感性。
- 选择性:NRMP对NO表现出高选择性,抗干扰能力强。

体内成像性能
- 肿瘤成像:在小鼠肿瘤模型中,NRMP实现了高对比度的T₂加权MRI成像。

- NO定量:通过T₂ MRI信号强度与NO浓度的校准曲线,定量肿瘤中的NO水平。

NO对肿瘤免疫和生长的剂量依赖效应
- 免疫细胞分析:高剂量NO显著增加了肿瘤中成熟树突状细胞和CD8⁺ T细胞的数量。

- 肿瘤生长抑制:高剂量NO显著抑制了肿瘤生长,低剂量NO则促进肿瘤生长。

这项研究展示了NO响应性磁探针在体内NO检测和肿瘤免疫研究中的巨大潜力,为癌症免疫治疗提供了新的工具和方法。详细信息可以在这里找到。
参考文献
Lu, C.; Liao, S.; Chen, B.; Xu, L.; Wu, N.; Lu, D.; Kang, H.; Zhang, X.-B.; Song, G. Responsive Probes for in Vivo Magnetic Resonance Imaging of Nitric Oxide. Nat. Mater. 2024. https://doi.org/10.1038/s41563-024-02054-0.